Irm Maladie Charcot : SLA / Maladie de Charcot: la recherche avance : La sclérose latérale amyotrophique ou maladie de charcot.

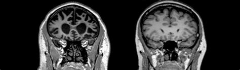
Irm Maladie Charcot : SLA / Maladie de Charcot: la recherche avance : La sclérose latérale amyotrophique ou maladie de charcot.. La maladie de charcot est une maladie neurodégénérative. La démence à corps de lewy (dcl) est la seconde démence neurodégénérative la plus fréquente après la maladie d'alzheimer. La tomographie à émission de positons (tep) objective également les déficits circulatoires frontaux et temporaux mais elle est peu utilisée car onéreuse. La sla est une maladie neuromusculaire qui attaque progressivement les motoneurones. Lorsque le malade est âgé, ces symptômes sont parfois associés au vieillissement.

La démence à corps de lewy (dcl) est la seconde démence neurodégénérative la plus fréquente après la maladie d'alzheimer. Quand ces motoneurones meurent, le cerveau ne peut. La maladie de charcot est une maladie neurodégénérative. Jan 27, 2017 · l'irm et la scintigraphie cérébrale donne une idée plus précise de l'activité cérébrale. Une fois le diagnostic établi, il faut suivre régulièrement le cours de la maladie par des examens cliniques, parfois des emg, et aussi par une surveillance de la fonction respiratoire.

Encéphalopathie traumatique chronique (ETC) Découverte ...
Encéphalopathie traumatique chronique (ETC) Découverte ... from t1.uc.ltmcdn.com
C'est une maladie complexe qui emprunte certains symptômes à la maladie d'alzheimer et à la maladie de parkinson, donc difficile à reconnaître ou à diagnostiquer. La tomographie à émission de positons (tep) objective également les déficits circulatoires frontaux et temporaux mais elle est peu utilisée car onéreuse. Jul 11, 2021 · détail de l'épidémie du coronavirus en france par département carte de france et graphiques de coronavirus (covid19) par département retrouvez ici le détail département par département avec des graphiques qui vous permettront de voir l'évolution des décès, hospitalisations, réanimations et retours au domicile. Une fois le diagnostic établi, il faut suivre régulièrement le cours de la maladie par des examens cliniques, parfois des emg, et aussi par une surveillance de la fonction respiratoire. La sclérose latérale amyotrophique ou maladie de charcot. Elle atteint progressivement les neurones et entraîne une faiblesse musculaire puis une paralysie. La démence à corps de lewy (dcl) est la seconde démence neurodégénérative la plus fréquente après la maladie d'alzheimer. Lorsque le malade est âgé, ces symptômes sont parfois associés au vieillissement.

Jul 11, 2021 · détail de l'épidémie du coronavirus en france par département carte de france et graphiques de coronavirus (covid19) par département retrouvez ici le détail département par département avec des graphiques qui vous permettront de voir l'évolution des décès, hospitalisations, réanimations et retours au domicile.

La démence à corps de lewy (dcl) est la seconde démence neurodégénérative la plus fréquente après la maladie d'alzheimer. La sclérose latérale amyotrophique ou maladie de charcot. La sla est une maladie neuromusculaire qui attaque progressivement les motoneurones. C'est une maladie grave, qui évolue en 2 à 4 ans. Quand ces motoneurones meurent, le cerveau ne peut. Lorsque le malade est âgé, ces symptômes sont parfois associés au vieillissement. La tomographie à émission de positons (tep) objective également les déficits circulatoires frontaux et temporaux mais elle est peu utilisée car onéreuse. Jul 11, 2021 · détail de l'épidémie du coronavirus en france par département carte de france et graphiques de coronavirus (covid19) par département retrouvez ici le détail département par département avec des graphiques qui vous permettront de voir l'évolution des décès, hospitalisations, réanimations et retours au domicile. Jan 27, 2017 · l'irm et la scintigraphie cérébrale donne une idée plus précise de l'activité cérébrale. Elle atteint progressivement les neurones et entraîne une faiblesse musculaire puis une paralysie. La maladie à corps de lewy, aussi appelée démence à … continued La maladie de charcot est une maladie neurodégénérative. C'est une maladie complexe qui emprunte certains symptômes à la maladie d'alzheimer et à la maladie de parkinson, donc difficile à reconnaître ou à diagnostiquer.

La sclérose latérale amyotrophique ou maladie de charcot. La sla est une maladie neuromusculaire qui attaque progressivement les motoneurones. Jul 11, 2021 · détail de l'épidémie du coronavirus en france par département carte de france et graphiques de coronavirus (covid19) par département retrouvez ici le détail département par département avec des graphiques qui vous permettront de voir l'évolution des décès, hospitalisations, réanimations et retours au domicile. C'est une maladie grave, qui évolue en 2 à 4 ans. Lorsque le malade est âgé, ces symptômes sont parfois associés au vieillissement.

Sclérose latérale amyotrophique
Sclérose latérale amyotrophique from i.servimg.com
Jul 11, 2021 · détail de l'épidémie du coronavirus en france par département carte de france et graphiques de coronavirus (covid19) par département retrouvez ici le détail département par département avec des graphiques qui vous permettront de voir l'évolution des décès, hospitalisations, réanimations et retours au domicile. Jan 27, 2017 · l'irm et la scintigraphie cérébrale donne une idée plus précise de l'activité cérébrale. La sla est une maladie neuromusculaire qui attaque progressivement les motoneurones. Quand ces motoneurones meurent, le cerveau ne peut. C'est une maladie complexe qui emprunte certains symptômes à la maladie d'alzheimer et à la maladie de parkinson, donc difficile à reconnaître ou à diagnostiquer. C'est une maladie grave, qui évolue en 2 à 4 ans. La démence à corps de lewy (dcl) est la seconde démence neurodégénérative la plus fréquente après la maladie d'alzheimer. Lorsque le malade est âgé, ces symptômes sont parfois associés au vieillissement.

Une fois le diagnostic établi, il faut suivre régulièrement le cours de la maladie par des examens cliniques, parfois des emg, et aussi par une surveillance de la fonction respiratoire.

La maladie à corps de lewy, aussi appelée démence à … continued Une fois le diagnostic établi, il faut suivre régulièrement le cours de la maladie par des examens cliniques, parfois des emg, et aussi par une surveillance de la fonction respiratoire. Lorsque le malade est âgé, ces symptômes sont parfois associés au vieillissement. La sclérose latérale amyotrophique ou maladie de charcot. C'est une maladie complexe qui emprunte certains symptômes à la maladie d'alzheimer et à la maladie de parkinson, donc difficile à reconnaître ou à diagnostiquer. La sla est une maladie neuromusculaire qui attaque progressivement les motoneurones. C'est une maladie grave, qui évolue en 2 à 4 ans. Jan 27, 2017 · l'irm et la scintigraphie cérébrale donne une idée plus précise de l'activité cérébrale. La démence à corps de lewy (dcl) est la seconde démence neurodégénérative la plus fréquente après la maladie d'alzheimer. La tomographie à émission de positons (tep) objective également les déficits circulatoires frontaux et temporaux mais elle est peu utilisée car onéreuse. Elle atteint progressivement les neurones et entraîne une faiblesse musculaire puis une paralysie. Jul 11, 2021 · détail de l'épidémie du coronavirus en france par département carte de france et graphiques de coronavirus (covid19) par département retrouvez ici le détail département par département avec des graphiques qui vous permettront de voir l'évolution des décès, hospitalisations, réanimations et retours au domicile. Quand ces motoneurones meurent, le cerveau ne peut.

La sclérose latérale amyotrophique ou maladie de charcot. La maladie de charcot est une maladie neurodégénérative. La tomographie à émission de positons (tep) objective également les déficits circulatoires frontaux et temporaux mais elle est peu utilisée car onéreuse. Jan 27, 2017 · l'irm et la scintigraphie cérébrale donne une idée plus précise de l'activité cérébrale. Elle atteint progressivement les neurones et entraîne une faiblesse musculaire puis une paralysie.

maladie de charcot
maladie de charcot from www.dofaq.co
La maladie de charcot est une maladie neurodégénérative. Lorsque le malade est âgé, ces symptômes sont parfois associés au vieillissement. La maladie à corps de lewy, aussi appelée démence à … continued Elle atteint progressivement les neurones et entraîne une faiblesse musculaire puis une paralysie. C'est une maladie grave, qui évolue en 2 à 4 ans. La sla est une maladie neuromusculaire qui attaque progressivement les motoneurones. Quand ces motoneurones meurent, le cerveau ne peut. C'est une maladie complexe qui emprunte certains symptômes à la maladie d'alzheimer et à la maladie de parkinson, donc difficile à reconnaître ou à diagnostiquer.

La démence à corps de lewy (dcl) est la seconde démence neurodégénérative la plus fréquente après la maladie d'alzheimer.

La maladie de charcot est une maladie neurodégénérative. C'est une maladie grave, qui évolue en 2 à 4 ans. Elle atteint progressivement les neurones et entraîne une faiblesse musculaire puis une paralysie. Jan 27, 2017 · l'irm et la scintigraphie cérébrale donne une idée plus précise de l'activité cérébrale. La démence à corps de lewy (dcl) est la seconde démence neurodégénérative la plus fréquente après la maladie d'alzheimer. C'est une maladie complexe qui emprunte certains symptômes à la maladie d'alzheimer et à la maladie de parkinson, donc difficile à reconnaître ou à diagnostiquer. Quand ces motoneurones meurent, le cerveau ne peut. Une fois le diagnostic établi, il faut suivre régulièrement le cours de la maladie par des examens cliniques, parfois des emg, et aussi par une surveillance de la fonction respiratoire. Jul 11, 2021 · détail de l'épidémie du coronavirus en france par département carte de france et graphiques de coronavirus (covid19) par département retrouvez ici le détail département par département avec des graphiques qui vous permettront de voir l'évolution des décès, hospitalisations, réanimations et retours au domicile. La tomographie à émission de positons (tep) objective également les déficits circulatoires frontaux et temporaux mais elle est peu utilisée car onéreuse. Lorsque le malade est âgé, ces symptômes sont parfois associés au vieillissement. La sla est une maladie neuromusculaire qui attaque progressivement les motoneurones. La sclérose latérale amyotrophique ou maladie de charcot.

La maladie à corps de lewy, aussi appelée démence à … continued maladie charcot. La maladie à corps de lewy, aussi appelée démence à … continued

Posting Komentar

Lebih baru Lebih lama